何为“镜面人”?
何为“镜面人”?
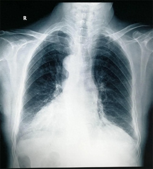
镜面人又称“镜子人”或“镜像人”,是一种极为少见的人体内脏解剖变异,指心、肺、横膈、肝、脾、胃、肠等全部内脏的位置呈180度反位,似正常人的镜面像,而循环、呼吸、消化功能均正常。 为“镜面人”做手术,极大地考验了术者的逆向思维能力,脏器的反位使取石手术难度和手术风险都增大。医生的手术习惯、技巧等也都要跟着一起“转位”。对病人来说,风险也在增大。给“镜面人”做手术,花费的时间远比正常人多。 近日我科收住一例腹腔内脏器反位病人,患者冯某某,年龄81岁,主因:右上腹间断性疼痛不适2月。入院诊断为:胆囊多发结石,急诊胆囊炎,主动脉硬化,三尖瓣反流,冠心病,心肌缺血,频发室性早博,同时合并有胸椎结核(T9-10)。患者年龄偏大,基础病多,手术风险大,行腹腔镜下胆囊切除术。





-
- 广东高考25日上午放榜
-
2026-04-07 15:08:17
-
- 电脑键盘被锁住了应该如何解锁
-
2026-04-07 15:06:02
-
- 37万人次参与互动!喜AI简书火爆出圈
-
2026-04-07 15:03:48
-
- 13届快男无法复制刻0713再就业男团!请勿东施效颦!
-
2026-04-07 15:01:34
-
- 这三句话最伤人,永远不要说
-
2026-04-07 14:59:19
-
- 南华雨露乡:鸡枞菌种植撑起“致富伞”
-
2026-04-06 23:50:59
-
- 论述类文本阅读(二)论证方法及作用
-
2026-04-06 23:48:45
-
- 假睫毛上胶水的清洗方法
-
2026-04-06 23:46:31
-
- 艾尔·杰弗森
-
2026-04-06 23:44:17
-
- NBA 湖人vs老鹰
-
2026-04-06 23:42:02
-
- 四球大胜匈牙利 荷兰晋级欧国联八强
-
2026-04-06 23:39:48
-
- 每日靓车图赏 | 轩尼诗推出全新洛桑银色毒液 F5
-
2026-04-06 23:37:34
-
- 乐视全球品牌发布会直播:乐视影业启动新logo 双轮驱动全球
-
2026-04-06 23:35:19
-
- 济南公安微信开户政业务 可查询重名人
-
2026-04-06 23:33:05
-
- 胡椒的基本介绍
-
2026-04-06 23:30:51
-
- 林丹精彩图集
-
2026-04-06 16:32:34
-
- 杨哲生日 未圆奥运梦
-
2026-04-06 16:30:20
-
- 西藏:樟木口岸出入境人员累计突破10万人次
-
2026-04-06 16:28:06
-
- 视觉盛宴 |《天仙配新传》4月25日恢复试演!
-
2026-04-06 16:25:52
-
- 男子酒后骑车撞上岳父身亡,向同桌3人索赔50万!主家:我没劝酒
-
2026-04-06 16:23:37



TT,原名满舒克,大家都叫他Jony J!
江西县区最新人事任免公示(重磅江西11地市四套班子全名单出炉)